
Черных Альбина
Юрьевна
Стоматолог-гигиенист
Профессиональная гигиена полости рта
Врач выполняет процедуру, а цифровой помощник — закрепляет результат и сопровождает Вас после!
Сопровождаем ваше здоровье после визита с помощью цифрового помощника.
Мы отказались от бумажных рекомендаций в пользу интерактивного отчета. После чистки вы получите на смартфон персональный анализ: врач зафиксирует процент налета, отметит зоны риска и составит индивидуальную пародонтологическую карту.

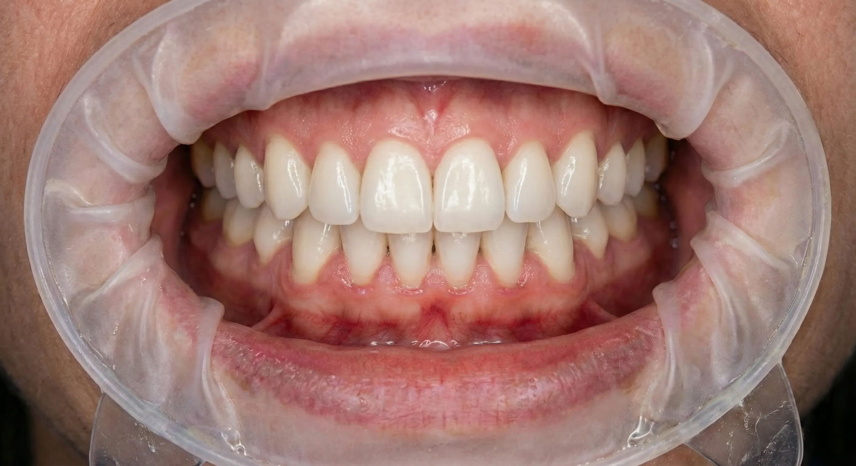
Наличие зубного камня вызывает хроническое воспаление и кровоточивость, а при отсутствии лечения приводят к расшатыванию и потере зубов
Потемнение эмали от кофе, чая и курения, которое не убирается чисткой обычной зубной щёткой даже с отбеливающей пастой
Бактериальный налет на эмали зубов может быть причиной неприятного запаха изо рта, который появляется вскоре после утренней чистки зубов
Скрытое разрушение твердых тканей зуба в межзубных промежутках и глубоких фиссурах, которое не видно при обычной чистке зубов
Профессиональная гигиена — это не эстетический каприз, а необходимость для сохранения биологического ресурса зубов.

Визуальный осмотр и анализ состояния эмали. Составление индивидуальной карты очистки.

Бережное удаление твердых зубных отложений (камня) без повреждения тканей.

Швейцарская технология мелкодисперсного очищения от пигментированного налета.

Создание идеально гладкой поверхности для предотвращения фиксации бактерий.

Насыщение эмали минералами для снижения чувствительности и укрепления.
6 вопросов — и вы узнаете, какая профгигиена подходит именно вам. Плюс бесплатная консультация врача.
6 вопросов • 1 минута • Бесплатная консультация
Подберём оптимальную процедуру и рассчитаем стоимость с учётом вашей ситуации


Удаление пигментированного налета
Осветление на 2 тона по шкале Vita
Полное восстановление блеска эмали
Цены фиксированы и включают все необходимые расходные материалы. Никаких скрытых платежей.
Свяжитесь с нами для детальной оценки стоимости вашего случая.

Стоматолог-гигиенист
Профессиональная гигиена полости рта

Главный врач клиники
Стоматолог-терапевт, стоматолог-эндодонтист
10.12.2025
Хочу поделиться впечатлениями после комплексной чистки зубов в клинике на Типанова. Записалась к гигиенисту Альбине Юрьевне. Очень внимательный специалист!
Процедура прошла абсолютно комфортно: комбинировали ультразвук и Air Flow, но никакой боли или неприятных ощущений я не почувствовала, хотя эмаль у меня чувствительная. Зубы стали заметно светлее и идеально гладкими, ощущение чистоты просто потрясающее.
Отдельно порадовал современный подход: вместо бумажек с рекомендациями, которые вечно теряются, мне составили цифровой план ухода, который сразу пришел на телефон в телеграм-боте. Очень удобно видеть, что и когда нужно делать для поддержания результата.
За семь с небольшим тысяч получила и качественную процедуру, и персональное сопровождение. Однозначно рекомендую!
Профилактика пародонтита и воспаления дёсен — главная причина потери зубов у взрослых. Регулярная профгигиена останавливает воспалительный процесс и сохраняет костную ткань, что позволяет сохранить свои зубы до глубокой старости без имплантации.
Стоимость профгигиены в разы ниже стоимости лечения кариеса, корневых каналов или протезирования. Профилактика выявляет проблемы на ранней стадии, когда лечение минимально инвазивно и недорого, а также предотвращает серьёзные осложнения.
Свежее дыхание, гладкая поверхность зубов и чистая улыбка повышают самооценку и уверенность в общении. Вы забудете о кровоточивости дёсен, неприятном привкусе во рту и будете чувствовать себя комфортно при близком общении.
Технические подробности и медицинские обоснования нашей работы.
г. Санкт-Петербург, ул. Типанова 27/39, ТК "Космос", 2 этаж
Пн-Вс: 10:00 — 22:00